澎湖日報提供澎湖每日在地新聞、時事專欄評論、縣政新聞、專題報導、旅遊動態報導、夾報、印刷服務等!

熱門文章

自動輪播廣告(下小)橫式選舉3欄
自動輪播廣告(上小)橫式選舉3欄
自動輪播廣告(中小)橫式1欄
自動輪播廣告(右)橫式1欄
自動輪播廣告(中小)橫式2欄

三總黃嘉崙醫師發表射頻消融手術成果耀國際

【記者莊惠惠報導】三總澎湖分院新陳代謝科黃嘉崙醫師自109年起與總院甲狀腺治療團隊合作,成功利用射頻消融手術完成多例甲狀腺腫瘤治療。黃嘉崙醫師日昨利用在韓國首爾Osstem Implant雙子星國際會議中心舉辦的「第八屆亞太國際腫瘤消融醫學會 (ACTA)」,與世界各國學者交換心得,同時向國際醫療界發表澎湖「在地化醫療」豐碩成果。

黃嘉崙醫師採公假報備出國參加學術研討,同時在現場示範甲狀腺腫瘤微創消融術及先進技術操作。讓國際見證到三總澎湖分院與三軍總醫院醫學中心合作,利用最新甲狀腺腫瘤射頻消融手術,作為治療甲狀腺結節和腫瘤的全新利器,未來將提供甲狀腺結節患者微創治療的新選擇。

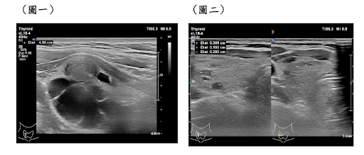
黃嘉崙醫師表示,根據複雜多隔腫瘤的特點,這類腫瘤包含兩個主要部分;一種是囊性部分,有多個分隔腔室,內部含有水樣或膠狀液體,射頻消融難以解決;另一部分是腫瘤內的結節性表現。複雜的多間隔甲狀腺腫瘤,在甲狀腺腫瘤中是難治腫瘤之一,若要考慮到安全性、有效性和微創美觀更是難上加難。

在這些已確認為良性組織之病例,黃醫師等甲狀腺腫瘤微創消融團隊操作超音波導引抽吸出甲狀腺腫瘤內液體,並於每腔室中注入高濃度乙醇注射。完成一系列高濃度乙醇注射後,進行高頻設射甲狀腺腫瘤消融術,並定期評估這些複雜型甲狀腺腫瘤體積特徵和變化。

三總澎湖分院黃嘉崙醫師帶領之甲狀腺腫瘤微創團隊結合乙醇注射及高頻設射甲狀腺腫瘤消融術序列混成治療,經過一年的追蹤,這些複雜型多間隔甲狀腺腫瘤與初始體積相比能達九成五之體積縮小率,有著傑出的創新結果。

拜醫療科技進步所賜,目前甲狀腺腫瘤射頻消融手術 (Radiofrequency Ablation of Thyroid)適合用於良性結節,甲狀腺微小癌或甲狀腺癌復發等患者。同時擁有許多優勢,微創、美觀和快速腫瘤縮小,是複雜多間隔甲狀腺腫瘤的創新混合分期管理的優點,將成為複雜型多間隔甲狀腺腫瘤之嶄新治療模式。





△三總黃嘉崙醫師發表射頻消融手術成果耀國際。

△圖一治療前圖二治療後影像。


隱私權保護政策  新聞授權規範
Copyright © 澎湖日報 All rights reserved.
Designed by 澎湖日報 & 瑋瑜有限公司
& OddThemes